2270
2021-07-14
近日,来自托木斯克理工大学(TPU)的一组研究人员成功地将使用3D打印的植入物的受损骨骼恢复率提高了一倍,这无疑是一个振奋人心的消息。据该研究的作者称,他们提出了一种用于植入物表面的生物活性涂层技术,这也节省了大量的时间和资源。
科学家们说,今天再生医学的成功与由模仿活体组织的复合生物材料制成的植入物的发展密切相关。与具有均匀结构的单相材料不同,复合材料由具有不同化学和机械性能的元素组成,使其在再现受损身体组织的功能方面更加准确。
制造植入物的最方便和最有效的技术是3D打印,它所生产的产品详细考虑了病人的解剖结构。然而,将复合涂层应用于此类植入物的方法才刚刚开始开发。
TPU的研究人员在一项新的研究中确定了用3D打印技术生产的钛合金植入物的最佳结构参数,并提出了一种用生物活性的磷酸钙涂层来改进它们的方法,这种涂层可以加速受损骨骼的恢复。

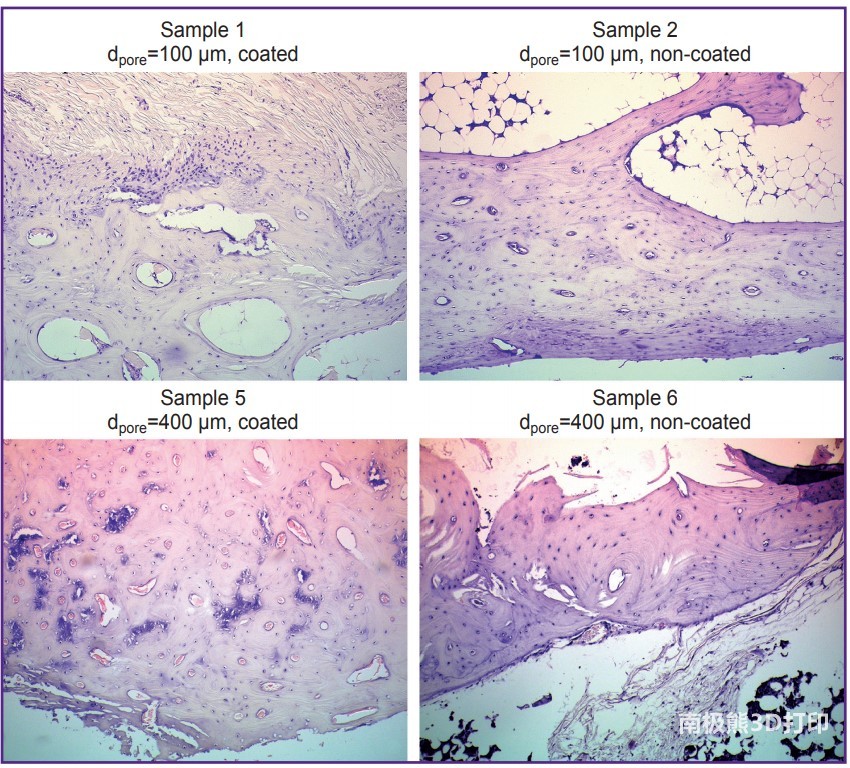
△图1 种植后180天的植入体周围组织的组织学图片样本(用苏木精和伊红染色,×200)
TPU温伯格研究中心副教授谢尔盖-特维尔多克列波夫说:"我们的涂层已经在世界著名的Ilizarov创伤修复和骨科科学中心成功使用,来自俄罗斯、法国和其他国家的400多名6至50岁的患者已经安装了带有我们涂层的植入物。它也被成功地应用于动物实验当中。根据与该中心科学家的联合研究结果,迄今为止,没有发现一例身体对我们的植入物产生排斥反应的情况,而且由于涂层的作用,正常骨骼和肌肉结构的恢复率增加了一倍。“

△图2. 植入180天后种植体样本的整体视图,植入体表面存在大量新形成的骨层(SEM×30)
研究团队还表示,TPU发展的新颖性在于结合了几种改性材料的方法。这种方法使植入物不仅在形状上可以个性化,而且在物理化学和生物特性上也可以个性化,这在治疗复杂的病症和伤害时是必要的。
Sergei Tverdokhlebov解释说:"在这项工作中,我们结合了几种方法:微弧氧化工艺在钛表面形成了多孔的磷酸钙涂层,然后用一种可生物降解的材料浸渍涂层,作为药物和生物活性物质的容器,以提高移植率,最后用磁控溅射进行等离子体处理,使材料具有最佳的特性,可以在上面生长活细胞。“
TPU的科学家们还使用计算机建模来模拟放在植入物上的药物的释放。据研究人员称,这不仅有助于优化产品的特性,而且还能减少昂贵的实验成本,加速在市场上推出新型植入物。他们的研究结果发表在《现代医学技术》杂志上。
相关论文链接:http://www.stm-journal.ru/en/numbers/2021/2/1707。
这些开发是在联邦目标计划的框架内进行的,研发项目的工业合作伙伴是OsteoMed-MLLC。未来,这一科学团队计划开发钛和聚合物植入物的生物活性涂层技术,以治疗骨质疏松症和其他复杂的骨组织病变,我们也越发期待有着更好的消息传来。
上一篇: 研究人员基于喷射成形3D打印氧化铝粉末
版权与免责声明:
(1) 凡本网注明"来源:颗粒在线"的所有作品,版权均属于颗粒在线,未经本网授权不得转载、摘编或利用其它方式使用上述作品。已获本网授权的作品,应在授权范围内使用,并注明"来源:颗粒在线"。违反上述声明者,本网将追究相关法律责任。
(2)本网凡注明"来源:xxx(非颗粒在线)"的作品,均转载自其它媒体,转载目的在于传递更多信息,并不代表本网赞同其观点和对其真实性负责,且不承担此类作品侵权行为的直接责任及连带责任。其他媒体、网站或个人从本网下载使用,必须保留本网注明的"稿件来源",并自负版权等法律责任。
(3)如涉及作品内容、版权等问题,请在作品发表之日起一周内与本网联系,否则视为放弃相关权利。