2054
2020-12-11
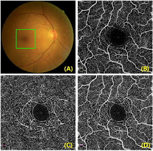
光学相干断层扫描血管造影(OCTA)是一种新兴的非侵入式成像技术,近年来已逐渐成为眼底相关疾病诊断的有效工具。相比于常见的眼底彩照(图1.A),OCTA(图1.B-D),可观察到毛细血管级别的微血管细节,尤其是对分布在黄斑中央凹周不同深度的微血管系统可进行相对较高分辨率的成像,这包括了浅层血管复合体(superficial vascular complex, SVC)和深层血管复合体(deep vascular complex, DVC),见图1.B-C。观察和量化这些不同深度的微血管形态结构有助于临床医生对许多眼科疾病的诊断。最近一些研究表明,OCTA图像中的微血管形态改变除了与常见的眼科疾病相关之外,还与阿尔茨海默氏病(AD)等神经退行性疾病相关。因此,眼科检查有望成为观测神经退行性疾病发展的新途径。
目前在医学图像及计算机视觉领域,尚未有公开的带有专家标注的OCTA血管分割数据集。中国科学院宁波材料技术与工程研究所所属慈溪医工所的赵一天团队,与英国利物浦大学及国内多家科研及临床机构合作,建立了目前领域内首个眼科OCTA血管分割数据集(ROSE)。该数据集包含了视网膜微血管网络的精确手工标注(含中心线标注和像素级标注)以促进该领域的相关研究。ROSE数据集共包含了229张OCTA图像,包括了SVC、DVC以及内层视网膜血管丛(SVC+DVC)的en face图像。这批数据分别由RTVue XR Avanti SD-OCT系统(美国Optovue公司)和Heidelberg Spectralis OCT2系统(德国海德堡公司)采集,扫描区域为以黄斑中央凹为中心的3×3mm2的区域。资深图像专家和临床医生制定统一的手工标注标准,并共同完成了两种不同类型的血管标注:中心线级标注和像素级标注(如图2)。
此外,研究人员还提出了一种由粗到细的双阶段血管分割网络OCTA-Net(如图3),用于OCTA中的血管分割提取,旨在分别检测粗细不同尺寸的血管。首先,在粗分割阶段中采用了以ResNeSt为骨干网络的编码-解码网络作为基于多分支的粗分割(SCS)模块,用于生成血管的初步置信度图。然后,在细分割阶段中,基于多分支的细化分割(SRS)模块根据原图和粗分割阶段的初步结果自适应地生成聚合系数,用于对细小血管的预测结果进行优化,以获得更准确的整体分割结果。实验结果表明,该方法明显优于其他方法,尤其是在提取高噪声和低可见度的毛细血管方面的能力。
值得一提的是,ROSE数据集内包含了健康组和患病组数据(AD、黄斑疾病),通过在OCTA-Net分割的结果上进行分形维数分析(Fractal dimension analysis)发现,AD与健康组之间存在显著差异,表明神经退行性疾病可能引起了视网膜微血管的结构形态的变化,亦或视网膜微血管结构形态的变化侧面反映出了神经退行性疾病的发展进程。该数据库和相关实验结果近期发表在国际期刊IEEE Transactions on Medical Imaging。

图1(A)眼底彩照,绿框为黄斑区域;(B-D)不同深度的OCTA图像

图2 ROSE中三种血管造影图及两类血管标注示例

图3 OCTA-Net框架图
上一篇: 生活废物可变成汽车零件原材料
版权与免责声明:
(1) 凡本网注明"来源:颗粒在线"的所有作品,版权均属于颗粒在线,未经本网授权不得转载、摘编或利用其它方式使用上述作品。已获本网授权的作品,应在授权范围内使用,并注明"来源:颗粒在线"。违反上述声明者,本网将追究相关法律责任。
(2)本网凡注明"来源:xxx(非颗粒在线)"的作品,均转载自其它媒体,转载目的在于传递更多信息,并不代表本网赞同其观点和对其真实性负责,且不承担此类作品侵权行为的直接责任及连带责任。其他媒体、网站或个人从本网下载使用,必须保留本网注明的"稿件来源",并自负版权等法律责任。
(3)如涉及作品内容、版权等问题,请在作品发表之日起一周内与本网联系,否则视为放弃相关权利。