2672
2020-07-30
2020年7月30日,南极熊从外媒获悉,骨科植入物制造商Exactech希望通过从EBM电子束3D打印技术转向高精度激光金属3D打印技术,来扩大Equinoxe无柄肩部植入物的生产规模。在2020年7月21日发布的一份官方声明中,他们宣布,计划在今年内将美国所有无柄肩部植入物的制造过渡到SLM激光3D打印设备。
作为Exactech四肢系列的最新产品,2018年推出的无柄肩是一种为解剖性全肩关节置换术而设计的保骨假体,由无柄笼、肱骨头和笼式盂组成,提供了术中灵活性,是理想的保骨假体。此外,为了提高生物固定的概率,它还加入了激光3D打印的多孔骨笼结构,实现骨质的渗入生长,而且不需要骨干,植入更加方便,减少了手术时间和血液流失。Exactech表示,3D多孔材料和骨笼技术的创新结合,与市场上竞争产品有了巨大区别。

新款Equinoxe无柄肩采用激光3D打印(图片由Exactech提供)
目前,骨科手术的微创化趋势越来越明显,如无茎肩关节植入手术主要由德国和法国的专家主导。然而,美国的外科医生也注意到了使用无茎植入物进行关节置换手术的好处,与传统的解剖性肩关节假体相比,无茎植入物所需的骨量更少,并发症更少。
受老龄化人口激增、预期寿命延长和关节炎发病率上升的推动,Koncept Analytics预计到2023年,全球肩关节置换术市场将达到24亿美元,其中包括对无柄肩关节植入物的需求增加。根据美国医疗研究与质量局的数据,仅在美国,每年就有超过5.3万人接受肩关节置换手术,而自2015年以来,只有少数无柄肩关节植入物获得美国食品和药物管理局(FDA)的批准(包括Equinoxe无柄肩关节),这对医疗设备制造商来说,市场前景广阔。想要成为无茎植入物市场的主导力量,Exactech正在转换技术,为患者和外科医生提供3D打印解决方案。
Exactech 四肢外科副总裁Chris Roche说:"我们对原有的EBM[电子束熔化]无茎肩部植入物,以及从外科医生客户那里获得的早期积极临床反馈感到非常满意。新的激光金属3D打印工艺建立在这个坚实的基础上,也让我们有能力加大生产力度,为更多的患者提供服务,推动了应用的发展。"
俄亥俄州阿克伦Crystal诊所的骨科医生Curtis Noel和密歇根州底特律Henry Ford卫生系统的Stephanie Muh,是2020年7月使用Equinoxe无柄肩部植入物进行手术的首批肩部专家。作为设计团队的成员之一,Noel表示,作为首批应用植入激光3D打印无柄肩的人之一,他感到非常自豪。其骨保护设计得很好,与Equinoxe肩部平台系统也比较兼容。

激光3D打印多孔结构,可以促进骨生长,图片由Exactech提供
Muh介绍说:"我最喜欢Stemless种植体的一个特点是它的骨笼结构,它的设计是为了提供初始的按压固定,同时也允许骨生长。这种特别的设计元素,以及多孔结构被设计成模仿松质骨的创面性质,效果比其他同类产品要好"
为了设计无柄肩关节植入物,Exactech工程研究人员与骨科医生合作,结合他们的专业知识和背景,提出了一个最终的设计结构,可以通过优化的孔径、孔隙率和计数进行增材制造。设计团队包括:Noel;来自杜兰大学的肩肘外科专家Felix Henry Savoie和纽约大学(NYU)Langone骨科医院的Joseph Zuckerman;来自法国波尔多-梅里尼亚克运动诊所的Pierre-Henri Flurin;佛罗里达州西棕榈滩特殊外科医院肩部主任Ryan Simovitch和佛罗里达大学肌肉骨骼培训跨学科中心主任Thomas Wright。

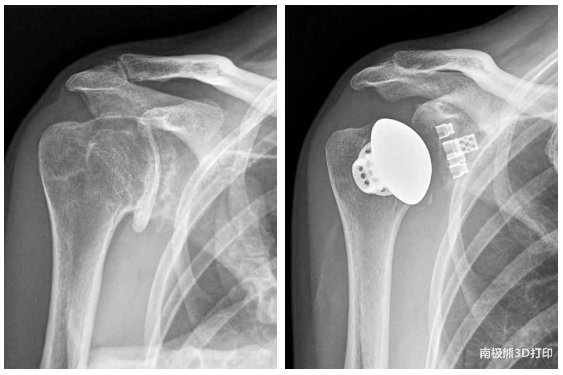
术前X光片(左)和术后X光片(右)显示了激光打印的Stemless Shoulder和Equinoxe Cage Glenoid (图片由Stephanie Muh提供)
作为创新植入物、器械和关节置换手术计算机辅助技术的研发和生产者,Exactech发布无柄肩关节后,立即进行了针对性的临床评估,并一直在积极地扩大应用和升级。就像其他无茎植入物制造商一样,其目标是试图重现原生肩部解剖结构,并最大限度地减少肱骨切除。最近的研究已经概述了无柄肩关节置换术的众多优点以及一些缺点,虽然它在欧洲外才刚兴起,但这种植入物在外科医生和患者中的地位越来越高,预计到2025年将超过有柄植入物。
版权与免责声明:
(1) 凡本网注明"来源:颗粒在线"的所有作品,版权均属于颗粒在线,未经本网授权不得转载、摘编或利用其它方式使用上述作品。已获本网授权的作品,应在授权范围内使用,并注明"来源:颗粒在线"。违反上述声明者,本网将追究相关法律责任。
(2)本网凡注明"来源:xxx(非颗粒在线)"的作品,均转载自其它媒体,转载目的在于传递更多信息,并不代表本网赞同其观点和对其真实性负责,且不承担此类作品侵权行为的直接责任及连带责任。其他媒体、网站或个人从本网下载使用,必须保留本网注明的"稿件来源",并自负版权等法律责任。
(3)如涉及作品内容、版权等问题,请在作品发表之日起一周内与本网联系,否则视为放弃相关权利。