2346
2020-10-14
肝癌是世界上最致命的肿瘤之一,肝细胞癌(Hepatocellular Carcinoma, HCC)是最常见的肝癌,占该疾病的90%。目前,经验性全身治疗是晚期HCC患者的首选治疗方法。然而,各种全身性药物对晚期HCC患者的疗效差异很大。仑伐替尼在所有一线或二线全身治疗中均表现出最佳的客观缓解率(ORR),但也只有24%,可见经验性靶向治疗的效率较低。
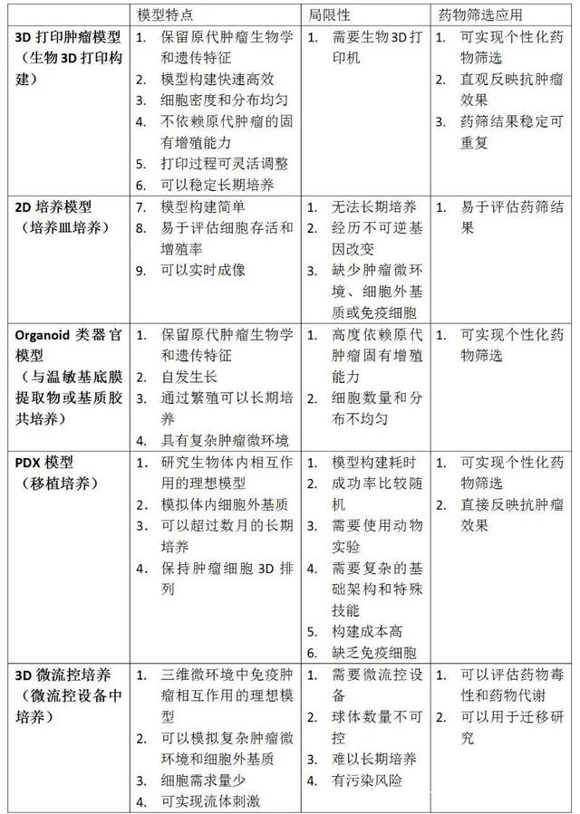
针对这一问题,我们需要稳定的针对特定患者的个性化体外癌症模型。目前常用的临床前模型是PDX模型,但PDX模型建立成本高,成瘤率底,时间慢,所以这么长时间都没有落地在临床应用;另一种模型是类器官模型(Organoid),目前仍然是最高光的研究成果,但是均匀尺寸和细胞数量的类器官形成过程不可控,且此方法依赖病人原代HCC细胞的固有增殖能力(Ki67),总体成功率不高,无法常规构建个性化类器官模型。
生物3D打印的出现和技术上快速的发展已经可以有效地解决这些问题,北京协和医院肝脏外科毛一雷教授课题组之前已经在GUT上发表成功打印具有功能的肝脏类器官(Hepatorganoid),并具有人肝的药物代谢功能,还在一个肝衰的动物模型上显著延长了动物生存时间;课题组还在这个技术平台上成功构建了用于个性化药物筛选的肝内胆管癌肿瘤模型(Biofabrication发表);而本次在以往的技术基础上,进一步构建出稳定的、高效的人肝癌细胞的体外模型,并成功进行了多种药筛。
近日,北京协和医院肝脏外科毛一雷教授、杨华瑜副研究员和上海科技大学的黄鹏羽教授团队合作在Biomaterials杂志上发表文章Three-dimensional Bio-printing of Primary Human Hepatocellular Carcinoma for Personalized Medicine,使用生物3D打印设备,首次成功构建了肝细胞癌个性化模型,并对4种常用的肝癌靶向药物进行体外个体化筛选,取得了令人意想不到的结果。

3D打印个性化病人原代HCC模型
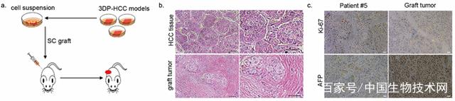
研究首次采用患者手术切除的HCC肿瘤样本用于模型构建,研究者将患者原代HCC肿瘤细胞与明胶海藻酸钠生物墨水混合使用3D打印机打印成型。为了构建个性化模型,研究者提取了6名不同患者的HCC样本来构建体外模型,并进行后续实验。
3D打印构建体外模型简单高效,HCC细胞消化分离后2小时即可完成构建。相比之下,类器官和PDX模型的形成需要几个礼拜。并且,由于亲本肿瘤增殖能力有限,类器官产生成功率仅有26%,有时甚至更低(20%以下),且形状、细胞数量、密度均不可控。

3D打印个性化病人原代HCC模型的技术路线
3D打印HCC模型稳定可靠
通过对3D打印HCC模型进行特异性生物标志物(AFP)表达的测试,研究者发现,全部六名患者的个性化模型,AFP表达测试的结果与患者表达一致。这说明3D打印HCC模型可以保留HCC细胞的特定生物标记。通过进一步进行外显子组测序(WES),研究发现3D打印HCC模型与亲本HCC组织的单核苷酸位点变异(SNV)保持高度一致性,并发现长期培养的模型很好的保留亲本HCC组织的突变谱,尤其是HCC的关键突变。这说明3D打印HCC模型高度还原人类HCC的遗传变异与表达谱,模型质量十分可靠。

3D打印HCC模型亲本肝癌特征检测

3DP-HCC模型保留了原始肿瘤的遗传改变和表达特征
为了了解长期培养的3DP-HCC模型中的细胞是否在体内保留了原始HCC的致瘤潜力和组织学特征,研究者将3D打印HCC模型培养三周后分离出细胞,移植到小鼠皮肤下,并在小鼠受体中发现移植瘤。通过一系列实验,研究者发现,原始HCC组织的典型细胞团结构在移植瘤中得到了很好的保留。并且,通过测定生物标志物(AFP与Ki67),研究者发现移植瘤和父母HCC标本中均表达少量Ki-67,而PDX组织中AFP的表达明显高于原始HCC标本,这在患者的正常肝组织中未发现,因此,3D打印HCC模型可以保留其致癌潜力和组织学特征。

3D打印HCC模型异体移植
个性化肿瘤药物筛选
3D打印病人原代HCC模型最具吸引力的应用就是肿瘤药物的个性化筛选。为验证这一功能,研究者在这6名患者的模型中测试了4种常用的经验性靶向药物(索拉非尼、仑伐替尼、瑞戈非尼、阿帕替尼)。
通过测定细胞存活率,研究发现,不同患者模型对于4种靶向药物的反应又不甚相同。例如,2号与5号患者模型对于4种药物均产生抗药性;对于1号患者,索拉非尼展示出更好的抗肿瘤作用,而对于3号患者,则是仑伐替尼抗肿瘤效果更好。进一步通过基因突变谱与药物靶标的对比测试,研究发现,药物敏感性与突变靶标具有良好的一致性。
同时,全外显子测序(WES)显示了6例患者的相应突变谱。总体而言,药物敏感性和突变靶标之间的良好一致性清晰可见。携带PDGFR和VEGFR家族突变的患者#1,#3,#4和#6对索拉非尼或lenvatinib或两者均敏感。但是,在患者#2和#5中没有药物敏感性和突变之间的这种相关性。发现这两名患者具有与其他患者相似的突变模式,但药物敏感性差异很大,并且对所有四种药物均具有耐药性。造成这种差异的原因仍不清楚,但是对5号患者的转录组分析表明Raf-1,VEGFR1和VEGFR2的表达实际上被下调,这可能是实现此耐药机制的重要线索。

使用患者衍生的3DP-HCC模型评估六种HCC患者的多种经验靶向药物的疗效
为了实现针对患者的癌症特异性治疗,研究者们不断进行认真的努力,以建立可以代表人类肿瘤的各种体外模型。当前,可以通过不同方法建立四种类型的患者源性HCC模型,包括传统的2D培养系统,类器官的3D培养系统,3D微流体培养和患者源性异种移植动物模型。其中生物3D打印的肿瘤模型优势显著。
现有病人来源肝癌模型对比

本研究主要突破有:
1. 全球首次使用原代肝细胞癌细胞进行体外3D打印,并构建出多个个体化模型,用于不同肝癌靶向药物的个性化药物筛选。
2. 3D打印原代肝细胞癌模型相比PDX和Organoid模型,构建时间大幅缩短(数小时vs. 2-3个月);形状和密度非常均匀并可调控;保留了肝癌的亲本性;构建方法可靠性和稳定性很高,且不依赖与原代肿瘤的固有增殖能力,具有极大的优势和潜力。并且成功进行了有意义的药敏试验。
3. 3D打印个性化肝癌药筛模型的成功建立,提示了这种技术实际上可以不困难地拓展到人体的多种肿瘤,而不局限在肝癌。
4. 以后有希望将该技术用于多种肿瘤的个性化药物筛选,在未来大规模药物检测和肿瘤病人个性化药筛方面可能会有巨大的商业化应用价值。
据悉,本文第一作者是来自北京协和医院肝脏外科解飞虎博士,目前在中山大学肿瘤医院肝胆外科工作。通讯作者是中国医学科学院、北京协和医院肝脏外科的毛一雷教授、杨华瑜副研究员、和上海科技大学的黄鹏羽教授。
原文链接:https://www.sciencedirect.com/sc ... i/S0142961220306621
上一篇: 两全其美:金属、塑料混合3D打印的新突破
版权与免责声明:
(1) 凡本网注明"来源:颗粒在线"的所有作品,版权均属于颗粒在线,未经本网授权不得转载、摘编或利用其它方式使用上述作品。已获本网授权的作品,应在授权范围内使用,并注明"来源:颗粒在线"。违反上述声明者,本网将追究相关法律责任。
(2)本网凡注明"来源:xxx(非颗粒在线)"的作品,均转载自其它媒体,转载目的在于传递更多信息,并不代表本网赞同其观点和对其真实性负责,且不承担此类作品侵权行为的直接责任及连带责任。其他媒体、网站或个人从本网下载使用,必须保留本网注明的"稿件来源",并自负版权等法律责任。
(3)如涉及作品内容、版权等问题,请在作品发表之日起一周内与本网联系,否则视为放弃相关权利。